Cosmetic dentistry spans a wide variety of procedures and techniques to dramatically improve your smile. Andrea Clarke, Tristan Barker and the team at Hobsonville Point Dental are passionate about creating and enhancing beautiful, natural smiles through cosmetic dentistry.
From the simplest of affordable tweaks to advanced, complex techniques, Andrea, Tristan and the team have been offering a wide range of cosmetic services that improve smiles throughout Auckland since 1997.
The range of solutions varies in complexity, from natural tooth coloured matched composite resin filling replacement to comprehensive makeovers using Dental Crowns, Porcelain veneers, dental implants or even dentures.
With our extensive experience, we can help you with a wide range of issues - from unsightly fillings to old amalgams, crooked teeth, gaps, decayed, lost, broken, discoloured or even stained teeth.The team take an approach to cosmetic dentistry that results in a natural or lifelike smile – “it doesn’t look like great dentistry….just great teeth.” These results can be achieved with a wide variety of single or combination procedures or techniques.
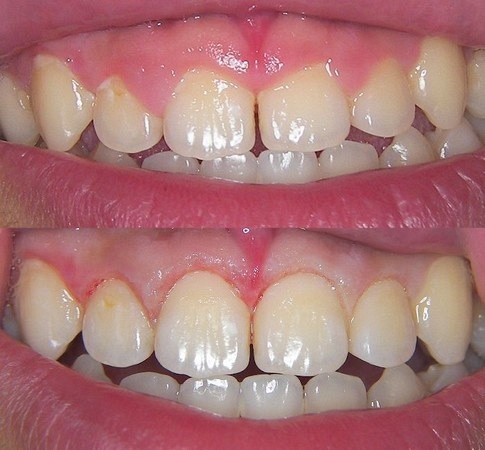
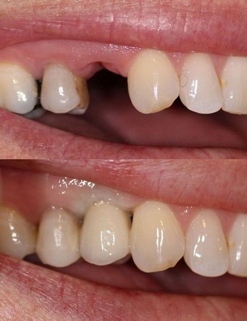
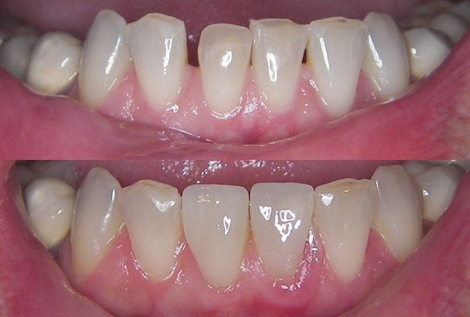
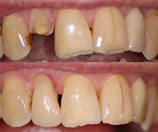
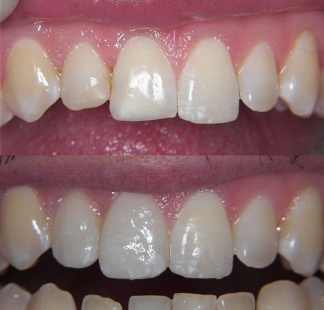
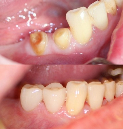
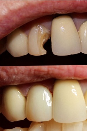
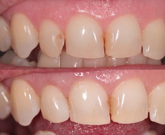
Below are examples of cosmetic dental case studies from a range of clients, illustrating what can be achieved often for far less than anticipated.
Make a start now and discover what cosmetic options are available and appropriate. Book a cosmetic consultation with us today here at Hobsonville Point Dental - info@hobsonvillepointdental.co.nz

Hobsonville Point Dental
160 Hobsonville Point Road, Hobsonville Point, Auckland 0618
09 320 0504 info@hobsonvillepointdental.co.nz