Root Fillings

Click For Gallery
Click For Gallery

Root Canal Treatment & Root Fillings

Root canal or endodontic treatment is needed when the nerve tissue or pulp that lives in the middle of a tooth becomes irreversibly inflamed (irreversible pulpitis) or the nerve dies. Both these nerve problems result in pain, however sometimes a dead nerve causes no symptoms for a while. In this case, often, a cyst may form in the bone at the apex of the root. A dental cyst is a bag of dead cells. This cyst can suddenly become infected causing pain and swelling

There are several causes of irreversible pulpitis or pulpal infection

  1. The bacteria that cause dental decay can enter the nerve and essentially kill it leading to pus formation and abscessing.
  2. If a tooth has a crack or fracture that goes into the nerve – on biting on the tooth the crack opens leading to pain. Over time bacteria travel down the fracture and enter the nerve chamber killing the pulp
  3. An accident to the tooth – either a tooth fracture resulting in a breach into the nerve or a percussion injury killing the blood flow to the nerve
  4. Repeated dental procedures on a tooth can cause a nerve to die

Click here to book online

Although there may be no pain symptoms for some patients needing treatment, typical indications of needing root canal treatment include

  • Painful jaw / mouth
  • Prolonged sensitivity to heat or cold
  • Tenderness to touch and chewing
  • Discoloration of the tooth
  • Swelling and tenderness in the lymph nodes
  • Swelling and tenderness in the nearby bone and gum tissues. 

What Is A Root Canal?

A root canal or filling is a sequence of treatments ( 1-2 appointments) resulting in the elimination of infection and protection of the decontaminated tooth from future bacterial invasion. The inflamed or infected tooth pulp (made of nerve tissue, blood vessels and other cellular entities) is removed, cleaned and disinfected, then filled and sealed with gutta-percha, a rubber-like inert filling material.

On completion of the procedure, the tooth may be brittle & liable to fracturing. So to fully re-establish function,  teeth are typically restored with a crown or filling to strengthen the brittle cusps left on the tooth. Root canal treatments typically have a 75-90% success rate.

Why Have Endodontic ( Root Canal ) treatment?

With good oral hygiene & care (that includes brushing, flossing, regular checkups and cleanings) most teeth that have had root canal treatment can last as long as your natural teeth. Saving a tooth with irreversible pulpitis or nerve infection by root treatment & then protecting the crown of the tooth with a suitable restoration (for with instance a dental crown or overlay) can maintain your natural smile & ensures you can continue eating the foods you love and limits the need for ongoing dental work.

Should you choose to not have a root filling and have your tooth removed your options are are

  1. To do nothing and have a gap
  2. to replace the missing tooth with one of the following
  3. a denture
  4. a dental bridge
  5. a dental implant

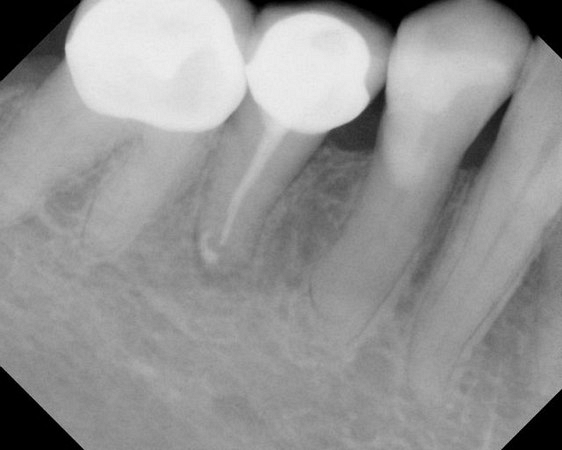
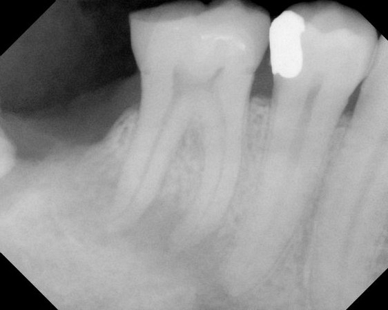
See xrays of before and after a root canal is completed below

Hobsonville Point Dental

160 Hobsonville Point Road, Hobsonville Point, Auckland 0618

09 320 0504   info@hobsonvillepointdental.co.nz

Sign up for our newsletter

Back to top