Dental Implants

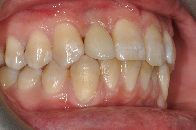
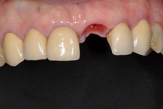
Click For Gallery
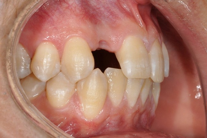
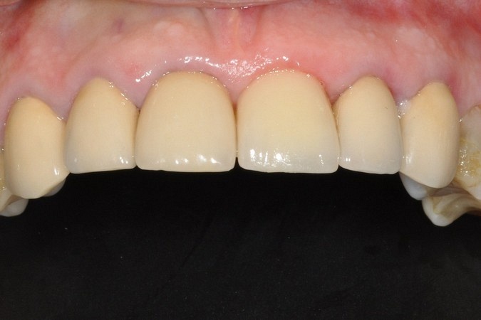
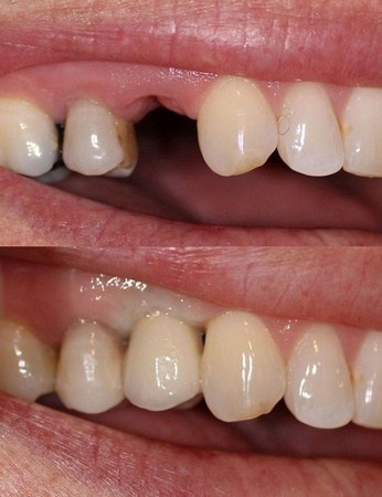
Click For Gallery

Dental Implants: What Are They?  
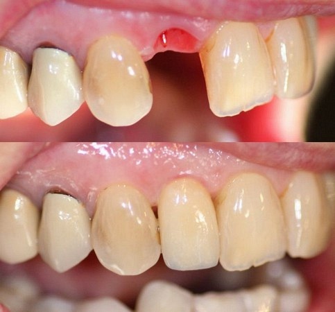
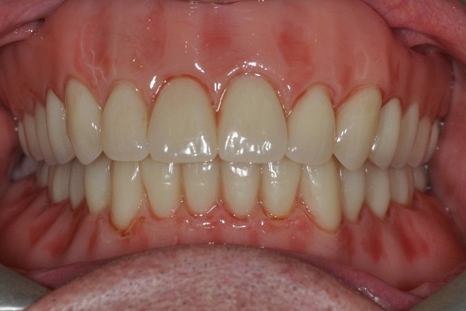
When you are in need of a replacement tooth and its root, a dental implant is the best solution for a near natural, stable alternative. A titanium or zirconium screw holds a replacement tooth (denture or bridge) in place which then fuses to the jawbone, resulting in a tooth (or teeth), that look & feel just like your own. Dental implants can also be colour matched, don’t affect your adjacent teeth, may last a lifetime with proper care & attention, and have a success rate of up to 98%.

Click here to book online

Dental Implant Success
Although an excellent substitute for missing teeth, dental implants importantly require healthy gums and sufficient bone to secure and fuse the implant to the jawbone. You’ll need to be committed to good oral hygiene including brushing & flossing in addition to regular dental visits. If you have suffered from diabetes, heart disease or other chronic disorders you’ll also need to be evaluated on a case by case basis – so discuss with one of our dentists if dental implants are appropriate for you.

What Are Dental Implant Benefits?
There are many benefits to using dental implants for the replacement of missing teeth which consequently improve the quality of life. These improvements include

  • Your self-esteem. The natural look & feel of implants gives confidence back to many who have faced insecurities from missing teeth.
  • Your appearance. Designed to permanently integrate with the jawbone (osseointegration), dental implants improve the overall appearance of your jaw & smile.
  • Your oral health. Dental implants do not require any alterations to the surrounding teeth – instead teeth are left intact (improving long-term oral health). Oral hygiene is also improved by easier access for brushing & flossing between teeth.
  • Your speech. Dental implants are firmly, securely & permanently affixed into your jaw. Ill-fitting dentures can result in teeth slipping in the mouth resulting in slurring or mumbling of words.
  • Your eating. Dental implants are able to function as replacement teeth. Chewing food can be difficult with sliding or unsecure dentures.

 Your dental implant process begins with the development of an individualized treatment plan to determine the implant option best suited to your needs. 
Are You Replacing A Single Tooth? - One implant & one crown are suitable for this
Are You Replacing Several Teeth? - Implant supported dental bridges are suitable to replace multiple teeth
Are You Replacing All of Your Teeth? - An implant supported bridge or full denture is suitable to replace all teeth 

Dental Implant Planning & Treatment
The process of dental implants involves 4 steps for the replacement of missing teeth

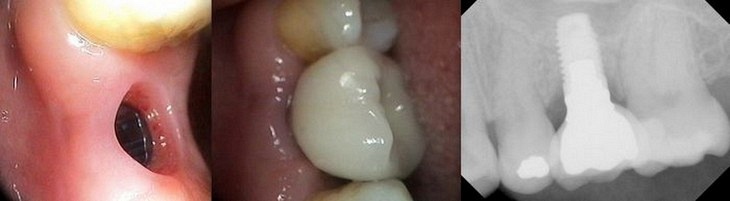
  1. The implant post, made of titanium, is placed into the bone socket of the missing tooth and left to heal for 6-12 weeks. Once the implanted metal post bonds to the jawbone. Usually the surgery is performed under local anesthetic & is a pain free procedure. Although post-surgery discomfort may vary between patients, it is typically easily managed by a range of over the counter pain medications such as ibuprofen.
  2. Once the implant has knitted to your bone the top of the implant is exposed & a small healing dome called a healing collar is attached.
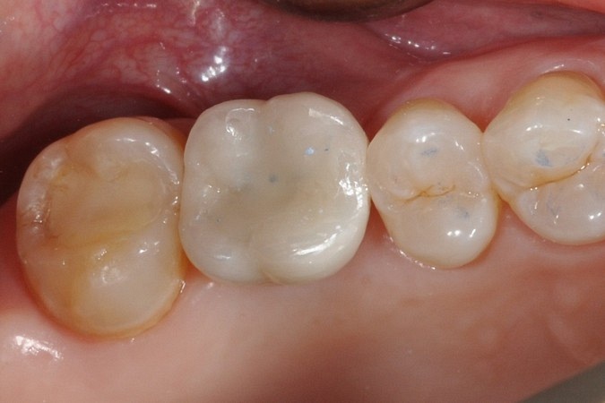
  3. After the gum has settled impressions are taken of the new implant and surrounding teeth and your new crown, bridge or denture is constructed
  4. Our dental technicians make your implant supported tooth or teeth & you return soon after for this to have your new tooth or teeth fitted

Periodic follow-up visits will also be scheduled with our dentists to monitor the health of your implant, teeth and gums.

Although your replacement teeth are man-made, after the surgery it is important to keep your implant clean and plaque-free, with brushing and flossing routines still applying.

 What Should You Do Now?
Implants are often preferable to bridges due to their longevity, preservation of bone, lack of decay & superior aesthetic outcomes. So if you are considering an optimum long term solution to replace a tooth or teeth lost following an accident, gum infection or decay contact us for more information.

Hobsonville Point Dental

160 Hobsonville Point Road, Hobsonville Point, Auckland 0618

09 320 0504   info@hobsonvillepointdental.co.nz

Sign up for our newsletter

Back to top