Click For Gallery
Digital x-rays are an invaluable tool in a modern dental practice, enabling staff to more effectively detect and identify dental problems, diagnose issues, confirm diagnosis and provide more informed guidance to our patients for our their oral health care.
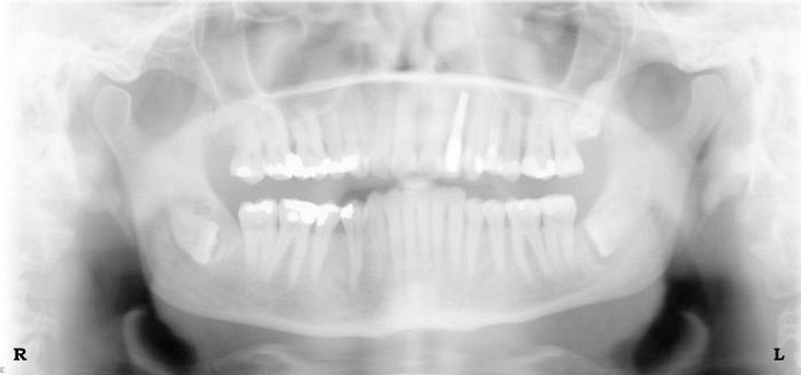
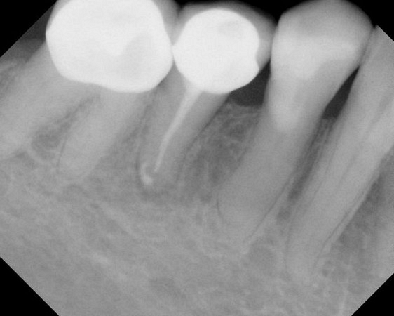
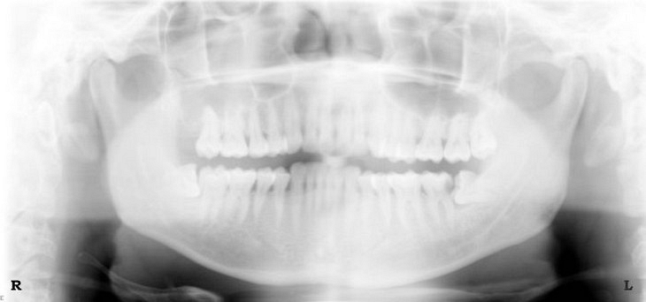
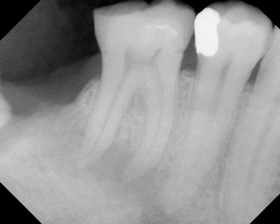
At Hobsonville Point Dental we have both intraorol digital radiography and extraoral full mouth digital x-rays. With intraoral digital x-rays, a sensor or digital plate is inserted into your mouth to capture an image of your teeth. For extraoral full mouth digital x-rays, to capture a complete image of your jaw, patients instead stand in a scanning x-ray – orthopantomogram (panorex). It’s a quick, convenient and very efficient process to almost immediately capture an image of your oral health.
The Big 5 Benefits of Digital Radiography
- Reduced Radiation — with digital radiography, dental patients are exposed to significantly lower levels of radiation (90% less than traditional film x-rays). Although conventional dental X-rays are considered safe, digital radiography is an excellent alternative for patients who requires regular x-rays on a regular basis; or is concerned about radiation.
- Shorter Dental Appointment Time —Traditional dental X-rays require the patient to wait while your dentist develops the film. Due to the sensor, digital radiography develops the x-ray almost instantly with the plate system taking just 30 seconds to process. The x-ray image is then projected it onto a LCD screen right for immediate viewing
- Higher Quality Images — Traditional x-rays are limited to a single sized image while digital x-rays can be enlarged or magnified according to need. Brightness, contrast, and colour can also be adjusted, allowing us magnify even the smallest of issues. Hard copies of your X-ray, as digital images can easily and affordably printed as necessary.
- Transferring Digital Data Dental Records – For immediate review, digital images can easily be e-mailed to a dental specialist. Digital x-rays minimise expense and time required to copy files and mail documents to another dentist. Data is easily shared and transferred for assessment and to transfer dental records.
- Environmentally Friendly – Digital dental x-rays are a much better consideration for the environment. Digital radiography, requires none of the toxic chemicals and by-products necessary in the film development process.

Irrespective of the type of x-rays you choose, dental x-rays are an important component to your regular dental visits at Hobsonville Point. Dental x-rays help us diagnose problems not yet visible to the naked eye. Concerned about radiation? Talk to us now about your x-ray options.
Here are examples of digital dental radiography